Chụp OCT (Optical Coherence Tomography) hay còn gọi là chụp cắt lớp võng mạc là một xét nghiệm chẩn đoán không xâm lấn, không gây đau đớn. Phương pháp này sử dụng nguyên lý ánh sáng, không đau, không tổn thương nên có thể thực hiện nhiều lần trên 1 bệnh nhân. Chụp OCT cũng không tiếp xúc trực tiếp với mắt nên không gây bất kỳ biến chứng nào cũng như sự khó chịu cho người bệnh.
Chụp OCT (cắt lớp võng mạc mắt) là phương pháp chẩn đoán hiện đại, giúp bác sĩ nhìn sâu vào cấu trúc mắt và phát hiện sớm các biểu hiện của bệnh lí tại mắt. Bên cạnh đó, quy trình này còn không gây đau hay xâm lấn cho mắt.

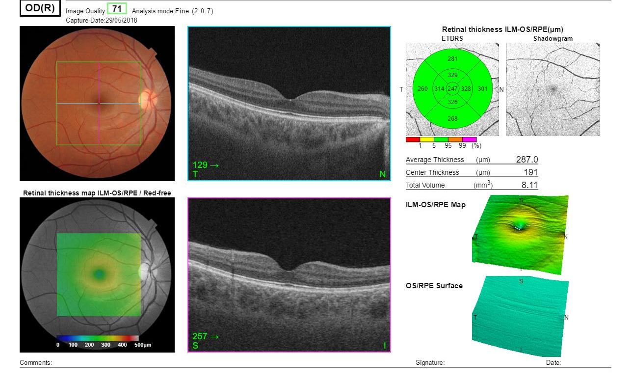
Chụp OCT đáy mắt tại Mắt Hitec
1. Chụp OCT là gì?
Võng mạc trong mắt con người là một bộ phận quan trọng mỏng như tờ giấy bám vào mặt sau của nhãn cầu, có vai trò như tấm phim trong máy chụp ảnh. Võng mạc giúp cảm nhận được ánh sáng và màu sắc. Vì thế, nếu võng mạc tổn thương sẽ ảnh hưởng rất lớn đến thị giác của người bệnh.
Chụp OCT (Optical Coherence Tomography) hay còn gọi là chụp cắt lớp võng mạc là một xét nghiệm chẩn đoán không xâm lấn, không gây đau đớn. Phương pháp này sử dụng nguyên lý ánh sáng, không đau, không tổn thương nên có thể thực hiện nhiều lần trên 1 bệnh nhân. Chụp OCT cũng không tiếp xúc trực tiếp với mắt nên không gây bất kỳ biến chứng nào cũng như sự khó chịu cho người bệnh.
Chụp cắt lớp võng mạc có thể xem như một hình thức chụp CT scanner nhưng tỉ mỉ hơn, chính xác hơn, ở mức vi thể, và hoàn toàn vô hại, không sử dụng các tia phóng xạ như chụp CT-Scanner.
Bác sĩ sẽ dựa vào kết quả chụp OCT để đo được độ dày của lớp võng mạc và đánh giá chi tiết các lớp võng mạc. Từ đó, bác sĩ sẽ đưa ra chỉ định điều trị cho người bị tăng nhãn áp hoặc bị các bệnh liên quan đến thoái hóa điểm vàng, bệnh võng mạc tiểu đường.
2. Chụp OCT mắt để làm gì?
Chụp OCT mắt là phương tiện rất quan trọng để bác sĩ chẩn đoán sớm, chính xác và theo dõi diễn biến võng mạc trong suốt quá trình điều trị. Chụp OCT có độ phân giải cao sẽ giúp bác sĩ nhãn khoa quan sát được cấu trúc của mắt trong không gian ba chiều. Điều này cho phép bác sĩ đánh giá được các thay đổi nhỏ trong các lớp cấu trúc võng mạc và gai thị. Đối tượng chỉ định và không chỉ định chụp OCT mắt gồm
2.1 Đối tượng được chỉ định chụp OCT mắt
Chụp OCT mắt thường được bác sĩ nhãn khoa chỉ định cho các trường hợp sau:
2.2 Đối tượng chống chỉ định chụp OCT mắt
Tuy là phương pháp không xâm lấn, không gây đau đớn và chảy máu nhưng do sử dụng ánh sáng nên nếu tình trạng mắt gây cản trở ánh sáng đi qua sẽ không thể tiến hành phương pháp này được.
Một số đối tượng sau được bác sĩ chống chỉ định với việc chụp OCT mắt:
3. Chụp cắt lớp võng mạc mắt – OCT có thể phát hiện gì?
Chụp OCT mắt giúp bác sĩ nhãn khoa trong trường hợp chẩn đoán các bệnh liên quan đến võng mạc hoàng điểm:

Kết quả chụp OCT
4. Quy trình chụp OCT mắt
4.1. Trước khi chụp OCT
Chụp cắt lớp võng mạc khá đơn giản và không cần chuẩn bị gì đặc biệt. Trước khi chụp OCT, bác sĩ có thể sẽ cho bạn sử dụng một thuốc nhỏ mắt đặc biệt giúp đồng tử mở rộng khiến quá trình kiểm tra võng mạc dễ dàng hơn. Bác sĩ sẽ hướng dẫn trong quá trình chụp và người bệnh chỉ cần thực hiện theo.
4.2. Tiến hành chụp OCT
Đầu tiên, bạn sẽ đặt cằm vào vị trí của thiết bị chụp chuyên dụng và nhìn thẳng vào ống kính. Đừng lo lắng vì sẽ không có thứ gì chạm vào mắt trong khi chụp. Quá trình chụp chỉ diễn ra vài phút cho mỗi mắt.
Ngoài ra, bác sĩ hoặc chuyên viên hỗ trợ có thể thực hiện kiểm tra thị lực bằng cách sử dụng bảng chữ cái chuyên dùng. Tổng thời gian cho một quá trình kiểm tra và chụp cắt lớp võng mạc OCT thường mất khoảng 45 phút.
4.3. Sau khi có kết quả
Tác dụng phụ sau khi chụp OCT mắt là vẫn còn cảm giác khó chịu, nhạy cảm với ánh sáng do đồng tử giãn ra sau khi sử dụng thuốc nhỏ mắt.
.jpg)
Máy chụp cắt lớp võng mạc DRI OCT Triton của TOPCON, Nhật bản
5. Ý nghĩa kết quả chụp OCT mắt
Hình ảnh chụp võng mạc được các bác sĩ nhãn khoa đánh giá và đưa ra chẩn đoán, kết luận cuối cùng. Nếu kết quả chưa rõ ràng, có thể đưa ra yêu cầu thực hiện một vài xét nghiệm để xác định được nguyên nhân gây ra bệnh chính xác, từ đó có biện pháp điều trị hiệu quả.
Chụp OCT khắc phục được một số nhược điểm của các phương pháp khám lâm sàng hay siêu âm, giúp các bác sĩ nhãn khoa chẩn đoán sớm, chính xác và theo dõi diễn biến bệnh trong quá trình điều trị để có phương pháp điều trị thích hợp.
Ngoại trừ cảm giác khó chịu do thuốc nhỏ mắt sau khi chụp OCT, phương pháp này không gây đau đớn, chảy máu, không xâm lấn mắt và không ảnh hưởng đến thị lực sau khi chụp. Đây là phương pháp an toàn và hiệu quả nhất hiện tại để chẩn đoán các bệnh liên quan đến võng mạc.
Đo thị trường mắt là một loại kiểm tra, đo lường khoảng cách mắt nhìn theo bất kỳ hướng nào mà không di chuyển và tầm nhìn nhạy cảm như thế nào ở các phần khác nhau của trường thị giác. Điều này giúp bác sĩ tìm ra một số loại chấn thương và loại bệnh mà người đó gặp phải, chẳng hạn như bệnh tăng nhãn áp, thoái hóa hoàng điểm,...
Xem chi tiết
Siêu âm mắt được coi là một trợ thủ đắc lực của các bác sĩ nhãn khoa trong việc chẩn đoán và phát hiện các bệnh về mắt khi không thể chẩn đoán lâm sàng bằng mắt thường. Vậy siêu âm mắt A-B là gì và đâu là ưu điểm của phương pháp này trong chẩn đoán các bệnh về mắt? Bài viết dưới đây sẽ giúp người đọc hiểu rõ công năng của phương pháp này.
Xem chi tiết
Trước khi tiến hành các cuộc phẫu thuật, người bệnh sẽ được bác sĩ thăm khám và theo dõi tình trạng mắt cẩn thận. Trong đó, chụp bản đồ giác mạc là bước đầu tiên giúp xác định tình trạng của mắt phù hợp với phương pháp phẫu thuật nào.
Xem chi tiết
Xét nghiệm máu hay còn được biết đến là phương pháp xét nghiệm huyết học. Xét nghiệm này đòi hỏi các nhân viên y tế phải sử dụng các mẫu máu của người tham gia. Tùy vào từng mục đích xét nghiệm mà mẫu máu khi thu thập được sẽ lưu trữ vào các ống chống đông khác nhau.
Xem chi tiếtĐể được tư vấn gói khám và
điều trị phù hợp
![]()
Bệnh nhân có thể liên hệ Hệ thống Bệnh viện Mắt Hitec qua
0984 122 153 (Hà Nội) hoặc 0345 118 228 (Tp.HCM)
media@benhvienmat.vn