Phẫu thuật thay thủy tinh thể nhân tạo là phương pháp tối ưu nhất hiện nay có thể điều trị dứt điểm bệnh đục thủy tinh thể và khôi phục lại thị lực cho người bệnh. Tuy nhiên sau phẫu thuật thủy tinh thể 6 tháng đến 1 năm, có khoảng 20% người bệnh (theo thống kê) có thể gặp phải hiện tượng đục bao sau thủy tinh thể thứ phát do nhiều nguyên nhân khiến cho thị lực lại suy giảm.
Phẫu thuật thay thủy tinh thể nhân tạo là phương pháp tối ưu nhất hiện nay có thể điều trị dứt điểm bệnh đục thủy tinh thể và khôi phục lại thị lực cho người bệnh. Tuy nhiên sau phẫu thuật thủy tinh thể 6 tháng đến 1 năm, có khoảng 20% người bệnh (theo thống kê) có thể gặp phải hiện tượng đục bao sau thủy tinh thể thứ phát do nhiều nguyên nhân khiến cho thị lực lại suy giảm.

Thủy tinh thể là một thành phần đặc biệt nằm trong mắt, được cấu tạo từ protein và nước. Bao thủy tinh thể hay là một trong ba thành phần chính, cùng với vỏ và nhân thủy tinh thể. Trong đó, bao được phân chia thành bao trước và bao sau. Bao sau là một màng trong suốt còn để lại trong quá trình phẫu thuật giúp thay thủy tinh thể nhân tạo (PHACO) lên trên. Khi phẫu thuật, bác sĩ sẽ lấy nhân thủy tinh thể đã bị đục ra và để lại vỏ thủy tinh thể. Sau đó, đưa nhân thủy tinh thể mới vào nằm trong vỏ bao đó.
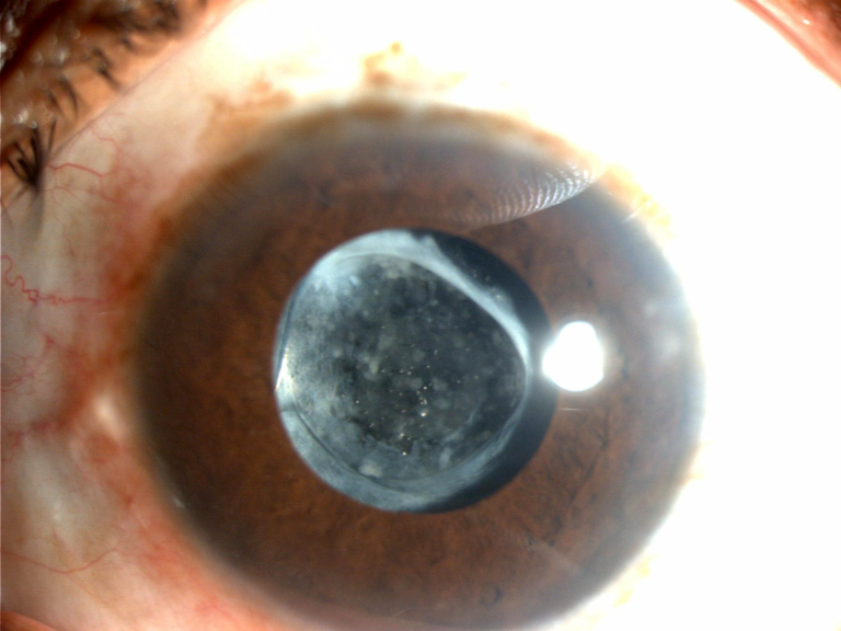
Đục bao sau là một trong những tình trạng thường gặp ở những người sau phẫu thuật đục thủy tinh thể (thời gian xảy ra thường từ 6 tháng đến 1 năm). Trong quá trình thực hiện phẫu thuật bác sĩ sẽ loại bỏ phần nhân và bao trước của thủy tinh thể nhưng vẫn giữ lại bao sau nhằm cố định thủy tinh thể nhân tạo trong mắt. Tuy nhiên, sau đó một thời gian các yếu tố gây đục thủy tinh thể (lão hóa, bệnh đái tháo đường hay bệnh tăng huyết áp) tiếp tục tấn công làm đục phần bao sau, làm cản trở ánh sáng đi vào võng mạc với các mức độ khác nhau khiến cho thị lực người bệnh ngày càng suy giảm, mờ mắt, chói sáng hoặc song thị.

Tình trạng đục bao sau tiến triển nặng
2. Triệu chứng nhận biết

Triệu chứng nhìn mờ đục bao sau
4. Điều trị đục bao sau như thế nào
4.1. Quy trình điều trị đục bao sau
Bệnh lý đục bao sau có thể được điều trị một cách đơn giản và hiệu quả. Phương pháp chiếu tia laser thường được chỉ định, tia laser sẽ được chiếu để phá hủy vùng bị đục ở bao sau, giúp ánh sáng đi từ ngoài vào mắt qua thủy tinh thể nhân tạo và đi tới võng mạc mà không còn sự cản trở, từ đó mắt có thể nhìn sáng rõ trở lại.
Quy trình điều trị đục bao sau tại Bệnh viện Mắt Hitec:
4.2 Những ưu điểm của phương pháp Laser điều trị bao sau
Nhiều phương pháp điều trị sử dụng thuốc hoặc các liệu pháp miễn dịch để điều trị đục bao sau đang được nghiên cứu, tuy nhiên, các nghiên cứu trên sinh vật sống chưa thể kết luận được về tính an toàn hay hiệu quả của các phương pháp này. Do đó, điều trị bệnh lý đục bao sau bằng phương pháp mở bao sau bằng laser là phương pháp tối ưu và hiệu quả nhất hiện nay.

Điều trị đục bao sau bằng laser YAG
5.1. Phòng tránh đục bao sau tiến triển nhanh:
Điều trị đục bao sau bằng laser YAG dù mang lại hiệu quả triệt để – an toàn tuy nhiên lời khuyên dành cho bạn và bệnh nhân giúp phòng ngừa và hạn chế khả năng đục bao sau:
5.2. Chăm sóc mắt sau điều trị LASER YAG – điều trị đục bao sau:
Bệnh lý đục bao sau ở mắt không nguy hiểm và có thể được điều trị khỏi hoàn toàn nếu bạn phát hiện sớm và đến đúng địa điểm uy tín, chất lượng. Tại Bệnh viện Mắt Kĩ Thuật Cao Hà Nội và Bệnh viện Chuyên Khoa Mắt Hitec, bệnh nhân sẽ được cung cấp đầy đủ và toàn diện tất cả các phương pháp điều trị đục bao sau từ mở bao sau bị đục bằng laser YAG cho đến mở bao sau bằng phẫu thuật đối với những trường hợp đục rất nặng không thể sử dụng laser hoặc bệnh nhân không thể điều trị đục bao sau bằng laser do nhiều nguyên nhân khác nhau. Ngoài ra nếu gặp bất kỳ các vấn đề về mắt, bạn hãy đừng ngần ngại đến ngay các cơ sở y tế chuyên về nhãn khoa uy tín để được tư vấn, hỗ trợ và điều trị kịp thời. Hỗ trợ tư vấn bệnh lí miễn phí liên hệ hotline / Zalo 0984 122 153 hoặc Fanpage của bệnh viện.
Thủy tinh thể được cấu tạo chủ yếu là nước và protein. Các protein được sắp xếp trật tự để cho ánh sáng xuyên qua và hội tụ trên võng mạc. Một số trường hợp protein tập trung thành đám, làm ánh sáng đi qua bị tán xạ, tạo ra những vùng mờ đục trong thủy tinh thể. Vì vậy, làm cản ánh sáng đến võng mạc gây giảm thị lực. Tình trạng này gọi là đục thủy tinh thể.
Xem chi tiết
Phẫu thuật Phaco (Phacoemulsification) là phương pháp sử dụng năng lượng sóng âm để tán nhuyễn và tách thủy tinh thể đục thành những mảnh nhỏ rồi hút ra ngoài qua một vết mổ nhỏ, và thay vào đó bằng một thủy tinh thể nhân tạo. Đây được coi phương pháp phẫu thuật an toàn, hiệu quả nhất hiện nay.
Xem chi tiết
Sau phẫu thuật đục thủy tinh thể hay mổ cườm khô (PHACO), bệnh nhân cần tuân thủ một chế độ chăm sóc đặc biệt để mắt nhanh hồi phục và tránh được những tổn thương, nhiễm trùng không đáng có. Dưới đây là một số lưu ý cần thiết, chăm sóc mắt sau mổ đục thuỷ tinh thể mà người bệnh và người nhà cần nắm rõ.
Xem chi tiết
Thủy tinh thể nhân tạo (Intraocular lens) là một thấu kính nội nhãn có kích cỡ rất nhỏ được chế tạo phù hợp với mắt người, nhằm thay thế cho thủy tinh thể tự nhiên bị đục.
Xem chi tiết
Phẫu thuật Phaco là phương pháp duy nhất an toàn và hiệu quả giúp điều trị triệt để bệnh đục thủy tinh thể. Vậy trước khi phẫu thuật, bệnh nhân cần chuẩn bị những gì. Theo ý kiến từ các chuyên gia nhãn khoa, điều bệnh nhân cần chuẩn bị duy nhất trước khi phẫu thuật là một tâm lý thật tốt vì những lo lắng thái quá có thể làm ảnh hưởng đến quá trình phẫu thuật. Tất cả mọi việc sẽ có bác sĩ và kỹ thuật viên của bệnh viện đảm nhiệm.
Xem chi tiếtĐể được tư vấn gói khám và
điều trị phù hợp
![]()
Bệnh nhân có thể liên hệ Hệ thống Bệnh viện Mắt Hitec qua
0984 122 153 (Hà Nội) hoặc 0345 118 228 (Tp.HCM)
media@benhvienmat.vn