Đỏ mắt là triệu chứng thường gặp, khiến bệnh nhân đến phòng khám chuyên khoa mắt. Đỏ mắt có thể biểu hiện ở nhiều mức độ, là triệu chứng cơ năng của nhiều bệnh lý khác nhau. Tính chất cấp cứu của đỏ mắt phụ thuộc vào các dấu hiệu kèm theo như giảm thị lực, đau nhức mắt, cộm chói mắt, tiền sử bệnh.
Triệu chứng Đau mắt đỏ[/caption]
Dưới đây là những nguyên nhân gây nên đỏ mắt và nguy cơ gây giảm hoặc mất thị lực.
1.Đỏ mắt xuất hiện đơn độc Đỏ mắt không kèm theo giảm thị lực hoặc đau nhức mắt. Nguyên nhân do xuất huyết dưới kết mạc nhãn cầu, kết mạc cùng đồ do bệnh tăng huyết áp, do chấn thương kết mạc. Xuất huyết dưới kết mạc sẽ khỏi trong khoảng vài ngày hoặc vài tuần và không ảnh hưởng tới thị lực.
2.Đỏ mắt và mắt có tiết tố
2.1. Viêm kết mạc do virrus, vi khuẩn Viêm kết mạc do virus (đau mắt đỏ) có thể một mắt hoặc hai mắt với triệu chứng như đỏ mắt, chảy nước mắt và nhiều tiết tố dính. Nếu bội nhiễm vi khuẩn sẽ ra rất nhiều rử, gây dính mi, khó mở mắt, đặc biệt là vào buổi sáng mới ngủ dậy. Nặng hơn có thể hình thành giả mạc làm mi mắt sưng nề, chảy nước mắt màu hồng nhạt như máu cá. Ngoài ra, viêm kết mạc do virus có thể kèm theo viêm giác mạc, gọi là viêm kết – giác mạc và gây giảm thị lực nếu không điều trị sớm và kịp thời.

Viêm kết mạc sưng nề cương tụ[/caption]
2.2 Viêm kết mạc dị ứng Viêm kết mạc do nguyên nhân dị ứng thường xuất hiện đồng thời ở cả 2 mắt khi gặp các dị nguyên như phấn hoa, lông mèo, bụi nhà, thời tiết, hóa nhất… Triệu chứng thường gặp là ngứa mắt, đặc biệt là góc trong kèm theo đỏ mắt (từ nhẹ đến nhiều tùy dị nguyên). Đồng thời có dịch xuất tiết hơi dính, dai có thể kéo thành sợi dài. Một số trường hợp có kèm theo viêm xoang, mũi dị ứng hoặc hen. Trường hợp dị nguyên là hóa chất có thể gây tổn thương cả giác mạc.
2.3 Viêm kết mạc mùa xuân: Là 1 thể của viêm kết mạc dị ứng. Thường thấy ở trẻ con, từ 7 tuổi đến 15 tuổi. Bệnh kéo dài nhiều năm và ổn định ở tuổi trưởng thành. Thỉnh thoảng có những đợt viêm cấp tính với triệu chứng điển hình như ngứa mắt dữ dội khiến trẻ phải dùng tay dụi mắt liên tục, đỏ mắt nhiều kèm sưng nề mi + kết mạc. Khám thực thể có thể thấy nhú đá lát ở kết mạc mi trên.
3. Đỏ mắt kèm theo đau nhức mắt
3.1. Tổn thương giác mạc: Dị vật giác mạc, viêm loét giác mạc…Với các triệu chứng như đau nhức mắt, cộm mắt, kèm theo đỏ mắt, nhìn ánh sáng rất chói và khó mở mắt, chảy nước mắt. Nếu không khám điều trị sớm sẽ dẫn tới loét hoại tử, thủng giác mạc gây giảm hoặc mất thị lực.
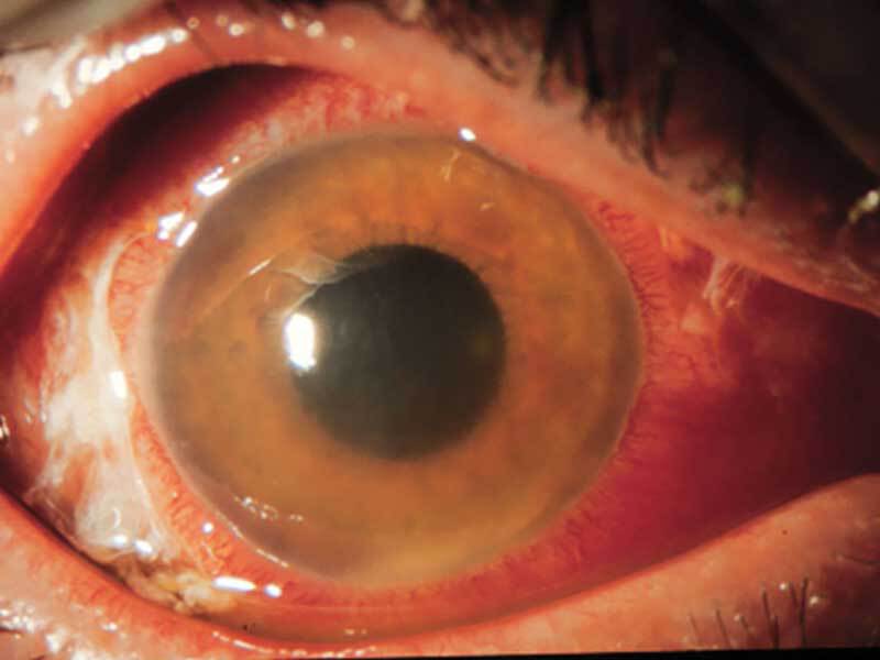
3.2. Viêm màng bồ đào trước cấp tính: Là một cấp cứu trong nhãn khoa, tiến triển nhanh, cần được khám và điều trị sớm. Bệnh có thể thấy ở trẻ em và người lớn. Đỏ một mắt nhiều, nhức mắt âm ỉ và nhìn mờ ít cho nên người bệnh dễ bỏ qua. Khi bệnh toàn phát, triệu chứng đỏ mắt, đau nhức mắt tăng nhiều và nhìn mờ nhiều như có lớp sương mù trước mắt, nếu không được điều trị kịp thời sẽ gây mất thị lực.
]
Hình ảnh bệnh nhân bị bệnh viêm màng bồ đào trước[/caption]
3.3. Viêm củng mạc: Triệu chứng đau nhức mắt ở mức độ nặng, kèm theo với triệu chứng đỏ mắt khu trú ở một vùng sau lan ra toàn bộ củng mạc là triệu chứng bắt buộc người bệnh phải đi khám. Bệnh viêm củng mạc có thể nằm trong bệnh cảnh toàn thân như viêm đa khớp, viêm cột sống dính khớp, các bệnh viêm mạch máu hoặc cũng có thể xảy ra sau phẫu thuật tại mắt hoặc sau chấn thương ở vùng củng mạc. Người bệnh cũng cần phải được theo dõi chặt chẽ và điều trị để phòng hoại tử củng mạc.
3.4. Bệnh glocom góc đóng cơn cấp: Thường xuất hiện về đêm với các triệu chứng điển hình như đau nhức mắt dữ dội lan lên nửa đầu cùng bên, nhìn mờ như qua màng sương, nhìn đèn có quầng xanh đỏ như cầu vồng và đỏ mắt biểu hiện cơn glocom góc đóng cấp tính. Kèm theo bệnh nhân có thể đau nhức nửa đầu. Bệnh có nguy cơ gây giảm thị lực trầm trọng.

3.5 Chấn thương mắt: Các chấn thương mắt thường gặp như bỏng mắt do các loại hóa chất sử dụng trong sinh hoạt, trong phòng thí nghiệm hoặc trong công nghiệp; chấn thương xuyên nhãn cầu do các vật sắc nhọn hoặc chấn thương đụng dập do vật đầu tù. Sau khi bị chấn thương người bệnh có các biểu hiện như đỏ mắt, nhìn mờ, đau nhức mắt nhiều. Các tổn thương có thể gặp như rách mi mắt, rách kết mạc, rách giác – củng mạc, lệch thủy tinh thể, đục vỡ thủy tinh thể, xuất huyết tiền phòng, xuất huyết nội nhãn, bong võng mạc. Tiên lượng về thị lực của các trường hợp chấn thương mắt rất kém và có thể mất thị lực. Trường hợp nặng có thể gây nhãn viêm giao cảm ở mắt còn lại.