Thủy tinh thể là một cấu trúc trong mắt có chức năng như một thấu kính giúp hội tụ ánh sáng (ảnh) trên võng mạc. Võng mạc là lớp nhận cảm ánh sáng và gởi tín hiệu thị giác lên não. Ở mắt bình thường, ánh sáng đi xuyên qua thủy tinh thể và hội tụ trên võng mạc. Thủy tinh thể phải trong suốt để tạo ảnh rõ nét.

Đục thủy tinh thể có thể hình thành do nhiều yếu tố:
Đục thủy tinh thể tiến triển chậm, ban đầu có thể không gây khó chịu. Khi bệnh rõ rệt hơn, người bệnh có thể nhận thấy:
Khi các dấu hiệu này xuất hiện, việc thăm khám sớm giúp đánh giá đúng mức độ bệnh và lựa chọn thời điểm điều trị phù hợp.

Bệnh diễn biến âm thầm và không gây đau. Giai đoạn đầu thường gần như không có triệu chứng rõ rệt. Khi tiến triển hơn, người bệnh có thể gặp:

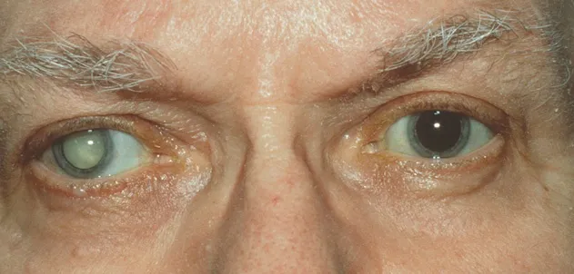
Mắt của 1 bệnh nhân bị đục thủy tinh thể
Những dấu hiệu này thường tiến triển dần theo thời gian. Việc nhận biết sớm có ý nghĩa quan trọng trong điều trị.
Đục thủy tinh thể được chia thành nhiều nhóm dựa trên nguyên nhân và đối tượng mắc:
Đến nay, phẫu thuật Phaco là phương pháp điều trị đục thủy tinh thể được áp dụng phổ biến tại các cơ sở chuyên khoa. Bác sĩ sử dụng năng lượng siêu âm để tách nhỏ thủy tinh thể đã bị đục, hút bỏ và thay bằng thủy tinh thể nhân tạo phù hợp.
Quy trình kỹ thuật mổ Phaco tại Hệ thống Bệnh viện mắt Hitec
Bước 1. Thăm khám nhãn khoa
Người bệnh cần được thăm khám với bác sĩ nhãn khoa để đánh giá tình trạng thị lực, mức độ đục thủy tinh thể. Bác sĩ sẽ căn cứ vào bệnh lý của từng người để chỉ định điều trị với phương pháp phù hợp. Sau đó, bác sĩ sẽ chỉ định người bệnh thực hiện các xét nghiệm, phục vụ cho quá trình phẫu thuật diễn ra an toàn.
Bước 2. Gây tê màng mắt
Gây tê là kỹ thuật giúp người bệnh cảm thấy thoải mái, dễ chịu nhất trong quá trình phẫu thuật. Các bác sĩ sẽ tiến hành gây tê màng mắt sau khi đã thăm khám và xét nghiệm kỹ lưỡng để đánh giá mức độ an toàn với thuốc gây tê.
Bước 3. Tách màng bao
Bác sĩ tiến hành rạch để tạo một đường thông nhỏ trên giác mạc với kích thước siêu nhỏ, chỉ từ 2,2-2,6mm. Sau đó, thực hiện tách màng bao trước thể thủy tinh và giác mạc (tiền phòng).
Bước 4. Tán nhuyễn và hút bỏ
Đầu máy Phaco bằng sóng siêu âm sẽ tán nhuyễn thể thủy tinh bị đục và bác sĩ sẽ hút ra ngoài, thông qua vết mổ.
Bước 5. Thay thủy tinh thể
Bác sĩ đặt thủy tinh thể nhân tạo vào trong dụng cụ bơm, sau đó đưa thủy tinh thể nhân tạo vào trong mắt qua đường rạch nhỏ. Sau khi đưa thủy tinh thể nhân tạo vào trong, bác sĩ sẽ điều chỉnh vị trí để đảm bảo ánh sáng hội tụ đúng trên võng mạc, giúp mọi người có thể nhìn rõ vật trước mắt.
Bước 6. Khử trùng
Vệ sinh kỹ lưỡng vùng mắt sau mổ và kết thúc quá trình phẫu thuật. Đường rạch rất nhỏ nên giác mạc có thể tự liền mà không cần khâu.
Bước 7. Theo dõi hậu phẫu
Người bệnh được đưa tới phòng theo dõi sau khi phẫu thuật trong khoảng 2- 4 giờ. Sau đó, bác sĩ sẽ tái khám và đánh giá thị lực của người bệnh, cho người bệnh xuất viện theo dõi tại nhà.

Bệnh nhân được chăm sóc sau mổ PHACO tại HITEC
Hệ thống Bệnh viện mắt Hitec triển khai đầy đủ quy trình khám – đánh giá – phẫu thuật đục thủy tinh thể theo tiêu chuẩn chuyên khoa, với sự hỗ trợ của trang thiết bị nhãn khoa hiện đại và đội ngũ bác sĩ có kinh nghiệm trong phẫu thuật Phaco.
Người bệnh sẽ được:
Việc thăm khám định kỳ giúp phát hiện sớm các dấu hiệu của đục thủy tinh thể và chủ động điều trị, tránh ảnh hưởng đến sinh hoạt và chất lượng cuộc sống.
Hotline: 0984 122 153
Đăng ký khám: https://benhvienmat.vn/dang-ky-kham-benh.html
Liên hệ ngay với Hệ thống Bệnh viện Mắt Hitec để được tư vấn chuyên sâu về Phaco và thay thủy tinh thể, giúp quý vị nhanh chóng lấy lại thị lực sáng rõ